
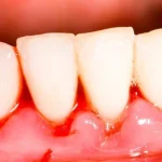
¿Alguna vez te has preguntado por qué sangran tus encías? Hoy en DeltaDent te damos las razones por las que sucede esto.
Av. de Ramón y Cajal, 5, 28016

¿Alguna vez te has preguntado por qué sangran tus encías? Hoy en DeltaDent te damos las razones por las que sucede esto.

La falta de dientes no solo afecta su confianza, sino que su boca se deteriorará rápidamente si no se trata. Las prótesis dentales te ayudan a verte y sentirte mejor, recuperar tu autoestima y tener una mejor calidad de vida.

Una de las principales razones por las que es importante realizar los empastes de inmediato es que, si no lo haces, las caries se extenderán a otros dientes, esto hará que sus dientes sanos se vean afectados. Un empaste hará que tus

Para someterse a un tratamiento de implantes dentales no basta con querer llevarlo a cabo, también debes de contar con una serie de requisitos.

Las caries es uno de los problemas más frecuentes en niños y en adultos son las caries, causadas por una deficiente higiene bucodental.

La ortodoncia lleva ya muchos años mejorando sonrisas y no es de extrañar que con el paso del tiempo vayan surgiendo nuevas versiones de esta ¡Te contamos todo sobre los diferentes tipos de ortodoncia!